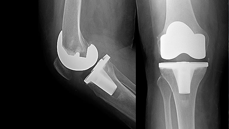
The ends of the knee joint are encased in metal components, and a medical-grade plastic implant is used to create the new cushion in the knee. It is the patient's own muscles and ligaments that provide the strength and stability to their new knee.
Below we present the structure of our medical tourism package at Hospital Puebla.
1 Consultation by Video Call. In-person consultation. Pre-surgical assessment. Performing surgery. Personalized follow-up at the Hotel for 2 weeks after hospital discharge. 4 nights hospitalization in a standard room with 1 companion. Total knee replacement. 4 specialized rehabilitation sessions. Fluoroscopy. Knee x-ray 2 projections. Transfer for 2 people APARTMENT-HOTEL-APARTMENT in compact car with 1 hour waiting. 2 nights of lodging prior to and 4 after hospitalization in a hotel of the chosen category in a single or double room (without meals). 4 days of compact car available for 8 hours for local transfers Puebla - Cholula. Taxes.
Other procedures not described in the package. Complication expenses. Stay in intensive or intermediate therapy units. Blood transfusions. Additional days to those established. Unspecified studies. Extra nights of accommodation. Extra people for transfer or accommodation. Personal expenses.
The doctors that appear in this list are specialists with extensive experience and international recognition:
Dr. Arturo Ayala Camargo
Orthopedist and Traumatologist
Dr. Cesar Cariño Cepeda
Orthopedist and traumatologist
Dr. José Mario Dorantes RodrÃguez
Orthopedist and Traumatologist
Dr. René Vásquez Campos
Orthopedist, Traumatologist
We have medical packages with a stay in a 4 and 5-star hotel, through an agreement with the following hotels, which are prepared to receive guests in this modality, offering additional services for the recovery of the patient and comfort of the companions:
Get all the details of our medical offer, which includes surgical costs, hospital costs and hotel and transportation package.
We invite you to fill out the following form and we will send you the information to your email.
Know more ...
If you have any questions about the hiring process or any topic of interest to you, We offer you the following means of contact, where one of our executives will assist you personally, choose one of the following options:
Our interest is to give you the best, if you want personal attention we invite you to contact us through the following options:
We've collected some of the most common patient questions and answered them here.
If you have a question that has not been answered, please contact us through our page, contact us and we will be happy to help you.
Know more ...
We are a hospital where our raison d'être and priority are the patients and we direct our efforts towards them to ensure quality medical care.
We work to be the best option in Puebla and the Southeast of the country in High Specialty Services; because we have the best Medical team, qualified Personnel and Vanguard Technology.
Puebla is a magical destination that will make you feel calm and thus enjoy an unforgettable experience, while we perform your requested medical procedure.
We can guide you by offering you recommendations for accommodation, transfers, entertainment and restaurants to coordinate your trip to Puebla and thus receive the best medical service.
We invite you to get to know Puebla, which brings together architectural jewels of the Colony, modern spaces, exquisite gastronomy and historical places.
These are some of the activities that you cannot miss during your next visit to Puebla, the capital recognized as a World Heritage Site.
Puebla is a very vast state in terms of typical and traditional food. In its food is the heritage of indigenous and European cuisine from the colonial era.
Discover the best tourist attractions and places to visit in the city of Puebla. Museums, tradition and culture, landscapes, squares and parks and guided tours.